성모탑정형외과

외상과염/내상과염

SUNGMO TOP ORTHOPEDICS

외상과염/내상과염

엘보(내상과염 및 외상과염)는 팔꿈치 안쪽과 바깥쪽 튀어나온 부분에 붙은 힘줄에 관련된 통증입니다. 손가락을 펴거나 손목에 힘을 주어 위로 들어 올릴 때 팔꿈치까지 연결된 힘줄에 영향을 주어 통증이 생기는 것을 말합니다. 팔꿈치 통증 중 가장 많은 질환이며, 바깥쪽 통증을 테니스 엘보(외상과염), 안쪽 통증을 골프 엘보(내상과염) 라고 합니다.


테니스나, 골프와 같은 운동을 하면 많이 발병된다 하여 지어진 이름이지만 손을 많이 사용하는 주부나 직장인들, 손목을 많이 사용하는 제빵사, 요리사, 미용사들도 많이 경험하는 질환입니다.

SUNGMO TOP ORTHOPEDICS

외상과염/내상과염

엘보(내상과염 및 외상과염)는 팔꿈치 안쪽과 바깥쪽 튀어나온 부분에 붙은 힘줄에 관련된 통증입니다.

손가락을 펴거나 손목에 힘을 주어 위로 들어 올릴 때 팔꿈치까지 연결된 힘줄에 영향을 주어 통증이 생기는 것을 말합니다.

팔꿈치 통증 중 가장 많은 질환이며, 바깥쪽 통증을 테니스 엘보(외상과염), 안쪽 통증을 골프 엘보(내상과염) 라고 합니다. 


테니스나, 골프와 같은 운동을 하면 많이 발병된다 하여 지어진 이름이지만 손을 많이 사용하는

주부나 직장인들, 손목을 많이 사용하는 제빵사, 요리사, 미용사들도 많이 경험하는 질환입니다.

SUNGMO TOP ORTHOPEDICS

외상과염/내상과염

원인과 증상

외상과염/내상과염이란 손가락을 펴거나 손목을 위로 들어 올릴 때 팔꿈치까지 연결된 힘줄에 영향을 주어 통증이 생기는 것을 말합니다.

원인

손목과 주관절의 과도한 사용
스포츠 활동이 많은 사람
주부, 칼질, 설거지 등
반복적 외상이나 무리한 사용

증상

팔꿈치 통증
물건을 잡거나 들 때 통증
야간 통증으로 수면장애
일상생활에 불편을 초래하는 통증

SUNGMO TOP ORTHOPEDICS

외상과염/내상과염 원인과 증상

외상과염/내상과염란 손가락을 펴거나 손목을 위로 들어 올릴 때 팔꿈치까지 연결된 힘줄에 영향을 주어 통증이 생기는 것을 말합니다.
원인

손목과 주관절의 과도한 사용

스포츠 활동이 많은 사람

주부, 칼질, 설거지 등
반복적 외상이나 무리한 사용
증상

팔꿈치 통증

물건을 잡거나 들 때 통증 

야간 통증으로 수면장애
일상생활에 불편을 초래하는 통증

SUNGMO TOP ORTHOPEDICS

성모탑의 특별한

외상과염/내상과염

치료 프로그램

풍부한 임상경험의 전문의

팔꿈치의 복잡한 해부학적 요소와 운동기능을 이해하고, 오랜 외래 진료 경험과 수 만례 이상 주사치료, 수천례 이상의 수술을 통해 풍부한 임상경험을 바탕으로 정확하게 원인을 진단합니다.

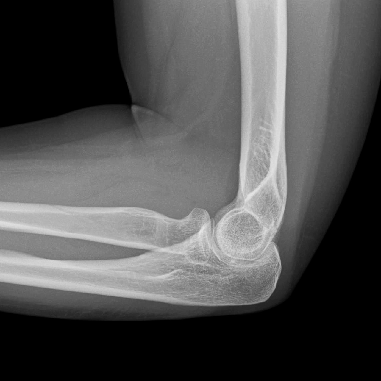
영상의학 검사

성모탑정형외과의 영상의학 검사는 먼저 방사선검사(x-ray)로 확인하여 석회나 다른 질환으로 인한 통증은 아닌지 등을 확인합니다. 팔꿈치 상과염은 대부분 간단한 초음파검사로 진단 가능합니다.

맞춤형 치료

체외 충격파, 도수치료와 같은 비침습적인 치료부터 주사치료 (프롤로주사, DNA주사, 인대강화주사, 콜라겐주사) 까지 다양한 치료가 가능하여 환자분의 상태에 따라 맞춤형 치료가 가능합니다.

mobile background

SUNGMO TOP ORTHOPEDICS

성모탑의 특별한 외상과염/내상과염 치료 프로그램

풍부한 임상경험의 전문의

팔꿈치의 복잡한 해부학적 요소와 운동기능을 이해하고, 오랜 외래 진료 경험과 수 만례 이상 주사치료, 수천례 이상의 수술을 통해 풍부한 임상경험을 바탕으로 정확하게 원인을 진단합니다.

영상의학 검사

성모탑정형외과의 영상의학 검사는 먼저 방사선검사(x-ray)로 확인하여 석회나 다른 질환으로 인한 통증은 아닌지 등을 확인합니다. 팔꿈치 상과염은 대부분 간단한 초음파검사로 진단 가능합니다.

맞춤형 치료

체외 충격파, 도수치료와 같은 비침습적인 치료부터 주사치료 (프롤로주사, DNA주사, 인대강화주사, 콜라겐주사) 까지 다양한 치료가 가능하여 환자분의 상태에 따라 맞춤형 치료가 가능합니다.

SUNGMO TOP ORTHOPEDICS

자주 묻는 질문과 답변

SUNGMO TOP ORTHOPEDICS

자주 묻는 질문과 답변

테니스 엘보, 

왜 이렇게 안낫는 걸까요? 

  테니스 엘보는 팔꿈치 외측의 근육과 힘줄이 반복적인 사용이나 과도한 긴장으로 인해 염증이 생기거나 손상되는 질환입니다. 팔꿈치 외측은 힘줄의 혈류가 부족한 부분이기 때문에 회복속도가 느리고 급성 염증 단계에서 제대로 관리하지 않으면 만성 통증으로 이어질 가능성이 높습니다. 이미 통증이 발생했을 때 만성단계에서 발견되는 경우가 많아 치료가 오래 걸리는 것입니다.

팔꿈치 통증 어떻게 치료하나요? 

  상과염으로 인한 팔꿈치 통증은 대부분 비수술 치료를 통해 호전될 수 있습니다. 증상이 심할때는 소염제 주사나 프롤로주사를 통해 급성 증상을 완화시키고, 치료의 목적으로 ‘체외충격파’ 치료를 시행하고 있습니다. 체외충격파 치료는 만성적으로 손상되고 혈류가 감소된 건 부착부에 혈류 흐름을 증가시켜 치유에 도움을 줍니다. 또한 손목에서부터 팔꿈치로 이어지는(전완부)의 근육 중 섬유화된 부분을 원래 상태로 호전시켜 증상을 완화시킵니다. 


다만 근본적인 치료는 생활 자세의 교정입니다. 성모탑 정형외과의 팔꿈치 치료의 핵심은 손목에 힘을 주는 습관을 교정하고, 수시로 스트레칭, 편심성 수축운동을 꾸준히 시행할 것을 교육하는데 있습니다.

체외충격파 치료가 

완치율이 높은이유는 무엇일까요? 

  체외충격파 치료는 치료기기의 종류, 치료의 기술이 매우 중요합니다. 치료의 확률을 높이기 위해 성모탑 정형외과에서는 스위스 스톨츠사 체외충격파를 이용하고 있으며, 집중형 충격로 손상된 부위의 조직 재생을 촉진하고 염증을 감소시켜 통증을 완화시킵니다. 이후 재발방지를 위해 방사형 충격파로 전완부의 근육 사슬, 근육 섬유화에 대한 치료를 병행하여 재발을 방지합니다 치료 전 후로 초음파검사를 시행하여 치료의 반응을 확인하고, 전문의의 진단하에 숙련된 통증의학과 전문의 및 물리치료사가 치료를 시행하고 있습니다.

성모탑의 특별한

외상과염/내상과염

치료방법


관절/인대주사

관절 및 인대, 건 부착부에 초음파

유도하에 정확히 약물을 주사하여

매우 빠르고 우수한 결과를 드립니다.


더 알아보기

체외충격파

스톨즈메디칼 체외 충격파 시스템은

급성 및 만성 근·골격계 환자들의

통증 완화에 효과적인 치료방법입니다.


더 알아보기

도수치료

풍부한 임상경험을 가진 숙련된 교정 및

도수 전문치료사가 있어, 전문적이고

체계적인 1:1 맞춤 진료가 가능합니다.


더 알아보

테니스 엘보, 왜 이렇게 안낫는 걸까요?

A    테니스 엘보는 팔꿈치 외측의 근육과 힘줄이 반복적인 사용이나 과도한 긴장으로 인해 염증이 생기거나 손상되는 질환입니다. 팔꿈치 외측은 힘줄의 혈류가 부족한 부분이기 때문에 회복속도가 느리고 급성 염증 단계에서 제대로 관리하지 않으면 만성 통증으로 이어질 가능성이 높습니다. 이미 통증이 발생했을 때 만성단계에서 발견되는 경우가 많아 치료가 오래 걸리는 것입니다.

팔꿈치 통증 어떻게 치료하나요?

A   상과염으로 인한 팔꿈치 통증은 대부분 비수술 치료를 통해 호전될 수 있습니다. 증상이 심할때는 소염제 주사나 프롤로주사를 통해 급성 증상을 완화시키고, 치료의 목적으로 ‘체외충격파’ 치료를 시행하고 있습니다. 체외충격파 치료는 만성적으로 손상되고 혈류가 감소된 건 부착부에 혈류 흐름을 증가시켜 치유에 도움을 줍니다. 또한 손목에서부터 팔꿈치로 이어지는(전완부)의 근육 중 섬유화된 부분을 원래 상태로 호전시켜 증상을 완화시킵니다. 


다만 근본적인 치료는 생활 자세의 교정입니다. 성모탑 정형외과의 팔꿈치 치료의 핵심은 손목에 힘을 주는 습관을 교정하고, 수시로 스트레칭, 편심성 수축운동을 꾸준히 시행할 것을 교육하는데 있습니다.

체외충격파 치료가 완치율이 높은이유는 무엇일까요?

A    체외충격파 치료는 치료기기의 종류, 치료의 기술이 매우 중요합니다. 치료의 확률을 높이기 위해 성모탑 정형외과에서는 스위스 스톨츠사 체외충격파를 이용하고 있으며, 집중형 충격로 손상된 부위의 조직 재생을 촉진하고 염증을 감소시켜 통증을 완화시킵니다. 이후 재발방지를 위해 방사형 충격파로 전완부의 근육 사슬, 근육 섬유화에 대한 치료를 병행하여 재발을 방지합니다 치료 전 후로 초음파검사를 시행하여 치료의 반응을 확인하고, 전문의의 진단하에 숙련된 통증의학과 전문의 및 물리치료사가 치료를 시행하고 있습니다.

mobile background

성모탑의 특별한

외상과염

내상과염

치료방법


관절/인대주사

관절 및 인대, 건 부착부에 초음파

유도하에 정확히 약물을 주사하여

매우 빠르고 우수한 결과를 드립니다.



더 알아보기


체외충격파

스톨즈메디칼 체외 충격파 시스템은

급성 및 만성 근·골격계 환자들의 통증

완화에 효과적인 치료방법입니다. 



더 알아보기


도수치료

풍부한 임상경험을 가진 숙련된 교정 및

도수 전문치료사가 있어, 전문적이고

체계적인 1:1 맞춤진료가 가능합니다. 


더 알아보기


SUNGMO TOP ORTHOPEDICS

외상과염/내상과염

방과 관리

보호대의 착용

상과염은 팔꿈치가 아픈 병이지만 원인은 손목의 과도한 사용에 있습니다. 손목을 많이 사용하는 직업군에서 통증이 심할 때 손목의 사용을 최소화하고 팔꿈치로 힘이 전달되는 것을 줄여주기 위해서 보호대를 착용합니다.

과도한 근육 사용 금지

팔꿈치 근육에 무리가 가지 않도록 하고 손목을 과사용하지 말아야 합니다. 손목과 팔꿈치의 중립자세를 유지하면서 무리가 가지않는 자세에서 운동하는 것이 좋습니다.

손목 받침대 사용하기

평소 컴퓨터를 하거나 마우스를 장시간 사용한다면 손목 받침대를 사용하는 것이 좋습니다. 장시간 한 자세에서 힘을 주고 있는 행동이 상과염의 가장 큰 원입니다. 손목 받침대를 사용하는 것만으로도 질환을 예방하고 증상을 완화시킬 수 있습니다.

꾸준한 팔 스트레칭

평소 긴장한 팔 근육을 수시로 풀어주는 것이 외상과염과 내상과염을 예방하는데 좋습니다.

SUNGMO TOP ORTHOPEDICS

외상과염/내상과염 예방과 관리

보호대의 착용

상과염은 팔꿈치가 아픈 병이지만 원인은 손목의 과도한 사용에 있습니다.

손목을 많이 사용하는 직업군에서 통증이 심할 때 손목의 사용을 최소화하고

팔꿈치로 힘이 전달되는 것을 줄여주기 위해서 보호대를 착용합니다.

과도한 근육 사용 금지

팔꿈치 근육에 무리가 가지 않도록 하고 손목을 과사용하지 말아야 합니다.

손목과 팔꿈치의 중립자세를 유지하면서 무리가 가지않는

자세에서 운동하는 것이 좋습니다.

손목 받침대 사용하기
꾸준한 팔 스트레칭

평소 컴퓨터를 하거나 마우스를 장시간 사용한다면 손목 받침대를 사용하는 것이 좋습니다. 장시간 한 자세에서 힘을 주고 있는 행동이 상과염의 가장 큰 원입니다. 손목 받침대를 사용하는 것만으로도 질환을 예방하고 증상을 완화시킬 수 있습니다.

평소 긴장한 팔 근육을 수시로 풀어주는 것이

외상과염과 내상과염을 예방하는데 좋습니다.